Kids Dentist:

Top 7 MISTAKES PARENTS MAKE in Helping Kids with Oral Health

#1: DOING THE WRONG THINGS TO PREVENT DENTAL PROBLEMS IN CHILDREN:

When it comes to dental work, less is better! So, focus on preventing dental problems.

You should be doing different things at each stage of a child's life from pregnancy to adulthood to prevent dental problems:

Dentistry for Children: PREVENTING DENTAL PROBLEMS IN CHILDREN

Dentistry for Children: PREVENTING DENTAL PROBLEMS IN CHILDREN

 ______________________________________________________________________________

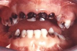
#2: UNDERESTIMATING THE IMPORTANCE OF BABY TEETH:

Yes, baby teeth fall out, but underestimating the importance of baby teeth or underestimating the power of sugar to destroy teeth will have damaging consequences. PREVENT the problems:

BABY TEETH: Important or Not?

baby bottle tooth decay

 ______________________________________________________________________________

#3: BEING UNAWARE OF THE DANGERS TO A TEETHING BABY:

The Federal Drug Administration (FDA) has issued warnings, but no one is listening!: